治療例ギャラリー (掲載写真はすべて無修正です)
オールセラミック(メタルフリー)の世界
※一部の画像はクリックで拡大してご覧いただけます。
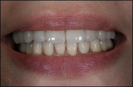
CASE1 クラウン
CASE2 インレー
CASE3 フルマウス
CASE4 ブリッジ (色合わせが非常に難しいケース)
歯列矯正による様々な問題点の解決
※一部の画像はクリックで拡大してご覧いただけます。
CASE1 矯正による上顎前突の解消
CASE2 矯正による審美・咬合機能の回復

術前

術後
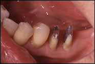
根分岐部病変に対する歯周病治療
歯根分割
全体的な歯周病治療例
※一部の画像はクリックで拡大してご覧いただけます。
※手術の写真など、画像によっては気分を害する画像が含まれていますのでご注意ください。
インプラント(中間欠損症例)

左下の奥から2番目の大臼歯が1本抜けてしまったところに、インプラントを埋め込みました。
インプラント(片側遊離端症例)
左下の大臼歯が2本ともなくなってしまい、負担荷重のため、小臼歯遠心部(大臼歯寄り)の骨が吸収されてしまっていました。インプラントによる補綴をおこないました。骨の吸収も改善されています。セラミッククラウン

歯周治療(垂直性骨欠損)
歯の側面の歯石沈着が原因で、高度の骨吸収がおこっていました。歯周治療後、状態の改善が見られました。吸収されていた骨も回復しています。前歯虫歯治療(コンポジットレジン)

前歯に中程度進行した虫歯があります。光重合型複合プラスチック(コンポジットレジン)を充填し、治療をおこないました。コンポジットレジンは白いプラスチックで、ある程度以上進行した虫歯の詰めものとしては使えませんが、保険適用内で審美性の高い治療が可能です。
総義歯
受診前、患者さんが使っていらした義歯

新しく、当院で作成した義歯



部分矯正(アップライト)


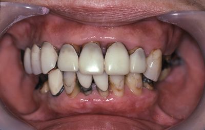
包括治療(審美、矯正、咬合)
治療前
アンテリアガイダンスの確立
前歯が顎の動きを導いて臼歯に負担をかけない咬み合わせが最重要です。
治療後
治療前、審美、かみ合わせ、歯周、虫歯とあらゆる問題が含まれていました。審美、矯正、咬合、歯周の各分野の技術で治療にあたりました。治療終了後、7年経過した現在も、お口の中の状態は良好です。











































